一说到白内障,很多人第一反应时人会得这种病,却不知道爱宠也会得这种病,更让人吃惊的是白内障并不是老年爱宠的专属,在陪伴爱宠成长的同时,也要注意眼睛疾病中重要的一种疾病—-白内障。

患病犬
一、白内障
白内障是指晶体囊或晶体浑浊,视力发生障碍的一种眼病。犬猫均可发生。
犬左眼发生白内障,外观眼睛浑浊

患病犬
二、病因
1 先天性原因
先天性白内障是指因晶体及其囊膜先天发育不全所致,与遗传和非遗传有关。犬白内障大部分为遗传性。常见的遗传病有视网膜发育不全、进行性视网膜萎缩等。非遗传因素与母体孕期感染、营养不良、代谢紊乱以及应用某些药物有关。常见于德国杜宾犬、松狮犬、德国牧羊犬(详情介绍)、比格犬、波士顿梗犬、金毛拾猎犬等。猫先天性白内障少见。
2 后天性原因
后天性白内障常继发于前色素层炎、视网膜炎、青光眼、角膜穿孔、晶状体前囊破裂、长期照X光、长期使用皮质固醇类、糖尿病继发等。老年动物因晶体退变易发生白内障(5岁以上的犬多发)。
三、症状
先天性白内障在出生时或出生不久发生,多为两侧性。青年性白内障一般在青年期发生,也常为两眼发病。

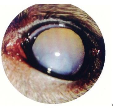
患病犬眼部图
晶状体及其囊浑浊、瞳孔变色

眼部图
浑浊明显,眼呈白色
四、病理过程
引起白内障的原因很多,但无论起因如何,在发病过程中都会使晶体通透性增加,致使晶体失去屏障效应,导致晶体浑浊。白内障分类有很多方法,但常用两种,即根据其发生的不同时期,分为初发期、幼稚期、成熟期和过熟期和根据其发病原因,分为先天性、青年性、老年性、外伤性和并发性白内障。
1 初期白内障
晶体及囊膜局灶性浑浊,对关有反射,对视力无影响。占晶体的10%-15%。
2 幼稚期白内障
晶体浑浊面积扩散,但某些皮质扔透明,晶体皮质膨胀,对光有反射,对视力有一定影响。
幼稚期白内障,晶状体浑浊面积较大。图片来源(图片来源(犬猫眼科学彩色图谱,韩博主译 中国农业科学技术出版社)
3 成熟期白内障

白内障幼稚期图
晶状体全部浑浊,晶状体皮质膨胀。对光反射模糊,对视力有明显影响。

白内障成熟期图
成熟白内障,红眼及角膜水肿。白内障晶状体露出晶状体蛋白引起晶状体性眼色素层炎,晶状体蛋白被视为异物。图片来源(图片来源(犬猫眼科学彩色图谱,韩博主译 中国农业科学技术出版社)
四、过熟期白内障
晶体缩小,囊膜萎缩,皮质液化分解,晶体核下沉,对光反射模糊,没有视力。

过渡成熟白内障
过度成熟白内障,大部分晶状体被吸收,皮质完全液化,致密的晶状体在囊内因重力而下沉,晶状体体积缩小,囊膜因张力下降,囊袋皱缩。图片来源(犬猫眼科学彩色图谱,韩博主译 中国农业科学技术出版社)
五、诊断
根据病史和临床症状,如肉眼观察瞳孔深部有无乳白色,对光是否反射,检眼镜能不能观察到眼底等。
六、治疗
1 药物治疗
没有理想的药物治疗白内障。建议使用局部或全身应用硒和维生素E、过氧化物歧化酶、肌肽,柠檬酸锌等治疗白内障。对先天性、幼稚性或皮质液化的过期白内障,可用散瞳剂,以改善视力。对于糖尿病性白内障,在水分快速吸收期和晶体蛋白未发生变化之前,控制血糖,有助减轻浑浊。
2 手术疗法
一旦晶状体不能吸收,在无色素层炎和视网膜正常情况下,应尽早手术治疗,改善视力。手术包括晶体囊外摘除术、晶体囊内摘除术和晶体抽吸术。
白内障手术施用根据具体情况分析,本文章只作为对白内障疾病的了解用,理解偏差处,还请指正,具体情况请遵医嘱。










