近来遇到了两个骨折的案例:一例是宠物的主人因为工作繁忙,在家里的猫咪骨折后半个多月才带来宠物医院进行内固定治疗,半个月骨折已经形成骨痂,其治疗结果可想而知。一例是宠物的主人同样因为工作繁忙,在进行完内固定治疗后一个半月才来进行骨板的拆除,拆除的结果也是不理想。下面先来说说骨板拆除延误的案例。
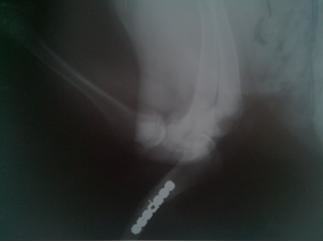
猫咪约为一岁大,名叫丽莎,为收养的流浪猫,因为玩耍时不慎从楼上坠下导致右前肢肱骨远端斜骨折,右后肢胫骨腓骨均骨折,受伤初期前后肢均肿胀,无法站立,一个半月后带来医院检查,此时前肢已经可以着地并且轻微的发力,后肢仍然跛行,X射线诊断如下,可见前肢肱骨远端已经形成骨痂并且骨折线开始消失,骨折开始愈合,但是胫骨和腓骨因为发生严重错位无法复原,并且拖延时间过久导致形成很厚的骨痂,新形成的骨痂又把断的胫腓骨连接在一起,这样的结构很不牢固,只要再次受力很可能再次发生骨折,而且骨折的情况会比之前更为严重。

猫咪受伤图
前肢肱骨可见明显的骨折线,后肢胫骨和腓骨可见错位并已形成骨痂
由于延误时间过久不适合进行手术固定,但是宠物主人为了使猫咪美观不影响以后走路仍然要求就行内固定治疗,再猫咪主人的再三要求下,决定对猫咪进行手术,快速形成的骨痂给手术带来很大的难度,也给猫咪带来了很大的风险。下面
是手术之后的X光图,希望猫咪能够尽快恢复好。骨折后应该在一周内待机体消肿消炎后进行手术。

x光图
图中胫骨被去除骨痂进行重新的固定,腓骨由于不是主要的受力对象所以未进行固定。
再来说说骨板没有及时拆除的案例,狗的名字叫奥利奥,品种为阿拉斯加犬,年龄为3个月大,因为从椅子上摔下导致后肢胫骨的骨折,来医院进行了手术治疗。下图为来拆除钢板时拍摄的X光片,骨折已经愈合,但是因为狗只有3个多月大,生长很快速,骨板的植入限制了骨骼快速的发育,大量形成的骨痂不得不将骨板包被起来生长,这给钢板的拆除带来的极大的难度。

x光图
图中箭头指示断裂的胫骨(手术前)

x光图
图为来拆骨板前拍的X光片,可见骨折线消失

x光图
图为外侧拍摄的X光片,可见骨骼发育良好
术后叮嘱宠物的主人因为狗的年龄很小,而且阿拉斯加犬又属于大型犬,骨折的内固定会限制以后的生长所以必须及时拆除,但是宠物的主人还是因为工作的原因遗忘了这件事,再把狗带来已经是一个半月以后了,所以对于钢板的拆除很不理想,骨痂已经把骨板包被了,下图为接骨板的拆除过程。那么到底什么时间拆除骨板才是最合适的呢,下面是国外的兽医专家根据经验和实验得出的结论。

手术图
正在进行骨板的拆除,螺钉已被取出

患病犬
阿拉斯加-奥利奥术后一个月已经可以正常行走
一般来说骨盆上的骨板不需移除,除非骨板引起了继发的感染的问题。四肢骨上的骨板最好要移除,骨板的移除时间和骨折的愈合时间直接相关,骨板修复骨折所需要的愈合时间与年龄有关:<3月龄需要四周;3-6月龄需要2-3>1 岁龄需要 5-14 月。有时候骨头会因为血流供应受损而变成骨质疏松,骨板对侧面也会因压力而让骨皮质逐渐变薄,妨碍动物的发育,只要骨板尽可能的早期移除,或是只要骨板不跨越生长板,通常都不会造成动物发育上的问题。通常在做完各科手术后建议每个月带到医院拍X片复查,以便观察骨折的愈合情况。
看了这篇文章希望养宠物的宠物主人们能够了解到及时治疗的重要性和延误治疗的危害性,希望以后在遇到宠物骨折或者术后的护理等问题时能更有经验。










