外固定架因其具有独特的优势在骨折的复位中也应用越来越多,那么外固定支架是怎么固定的,在使用外固定架的过程中应遵守那些规则?本文将通过以上内容进行说明。
一、外固定架固定优缺点
外固定支架属于骨折闭合性整合的一种方法,闭合性复位是指骨折复位不需要外科处理暴露骨折部位,主要优点有:保护血液供应和软组织,提高骨折愈合速度;降低感染风险;缩短手术时间;而缺点在于骨折部位不可见,骨折复位困难;术后护理困难。
二、外固定支架构成
外固定架包括三个部分:1插入骨中用来固定主要骨片的固定针;2支持骨折的外连接杆;3支持固定针和外连接杆的连接器。具有不同的型号。

外固定支架
外固定架模型半针安置方法:穿过2层皮质骨,不穿透对面皮肤层,全针穿透2层皮质骨和对侧皮肤。
三、外固定支架遵守原则
外固定架的固定类型、固定针数量的选择跟骨折发生状况,主人术后护理、宠物的配合程度、品种都有很大关系。在进行外固定架时必须遵守无菌原则,其中包括患病动物的准备、手套、手术衣、隔离巾和器械的准备。
四、胫腓骨骨干折
胫腓骨干骨折是后肢骨折,由于后肢骨有较少的软组织,可发生开放性骨折(骨折骨露出皮肤),主要由车祸、与其他动物打斗、摔伤引起,其他诱因引起(骨肿瘤)。由于该骨折多由外伤引起,治疗时应进行全身检查,看是否有全身性损伤,如肺挫伤、气胸、肋骨骨折和外伤性心肌炎,可能并发广泛的软组织损伤和缺失。
五、临床表现
任何年龄、品种、性别的犬均可发生。幼龄动物更易发生。
患病动物通常表现后肢跛行,主人可发现。
六、诊断
1 体格检查
患病动物患肢不能负重骨折部位有明显肿胀、疼痛。
2 X光检查

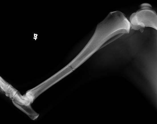
X光侧位显示胫骨骨干骨折
3 实验室检查
应进行血常规和生化检查,检查动物状态及是否有肝胆和肾脏系统的损伤。进行诊断时,要确定骨折是由于外伤引起,还是由于肿瘤和代谢性疾病。
七、治疗
1包括药物治疗和保守治疗
药物疗法主要包括镇痛药和抗生素的使用。保守治疗主要包括运用夹板和可塑性材料进行外固定。保守治疗主要运用在幼龄动物,闭合性没有错位的骨折。如果幼龄动物比较好动应用保守疗法也不可靠。
2 外固定支架

骨折后外固定支架在X光下图片。

另一患病犬,股骨骨折使用外固定支架演示图。
外固定支架的插入过程,将骨折处大量剃毛消毒,患肢悬吊后,患肢足部可以看到手术结束后,在外固定支架的帮助下,该犬可以走路。未了防止术后犬对伤口的舔咬,除了佩戴伊丽莎白圈外,要注意固定支架伤口处的护理。术后禁止剧烈运动,对于比较活泼的狗建议关笼子护理,为了防止外固定架跟笼子勾住,需要用弹力绷带将外固定架全部包好。外固定架的夹子和外固定杆可以回收使用。为加快恢复骨折愈合能力,每天可以运动一次,一次5分钟,随愈合时间,可适当增加次数,延迟时间。

术后愈合X片,显示愈合良好。










